Tag: Ba tháng cuối
Thai nhi 34 tuần tuổi
Quá trình tăng trưởng tiếp tục đạt đỉnh cao: vào cuối tuần này, bé có thể sẽ dài tới 43,7cm (tính từ đầu...
Rỉ ối và những việc thai phụ cần làm
Nước ối là môi trường dưỡng chất ở thể lỏng, được tạo ra từ nhau thai, màng ối và hệ tuần hoàn của...
Thai nhi 40 tuần tuổi
Chỉ khoảng 5% các bé sinh đúng ngày thôi, còn lại 75% bé thường chào đời muộn hơn so với dự kiến.
...
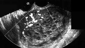
Chửa trứng
Chửa trứng là tình trạng thai nghén bất thường, trong đó một phần hay toàn bộ bánh rau bị thoái hóa thành các...
Thai nhi 30 tuần tuổi
Đầu của bé ngày càng lớn hơn, sự phát triển của não bộ rất nhanh vào thời điểm này. Gần như tất cả...
Rau bong non
Rau bong non là một cấp cứu sản khoa thường xảy ra ở ba tháng cuối của thời kỳ thai kỳ với diễn...
Thai máy (hiện tượng người mẹ cảm thấy các cử động...
Thai máy, còn gọi cử động thai, là một trong những dấu hiệu cho thai nhi có bình thường không. Theo dõi cử...
Ngôi thai và các kiểu của ngôi thai
Thông thường, từ tuần 28, thai nhi bắt đầu xoay đầu xuống phía dưới xương chậu để ổn định vị trí ngôi thai...
Thai nhi 36 tuần tuổi
Bé đang lớn nhanh và sự chật chội của tử cung khiến bé bớt “hiếu động” hơn.
Sự phát triển của bé
Bé...
Thế nào là rau cài răng lược?
Rau cài răng lược là một bệnh hiếm gặp và dễ bị bỏ sót khi thăm khám và chẩn đoán. Rau cài răng...















































