Chửa trứng là bệnh của tế bào nuôi, do sự tăng sinh (phát triển quá mức) của các hợp bào và lớp trong lá nuôi của gai nhau (nhiều gai nhau nói lại với nhau tạo thành bánh nhau), tạo thành những túi chứa chất dịch, dính vào nhau như chùm nho.
Chửa trứng là một bệnh bắt nguồn từ thai nghén. Trong phần lớn các trường hợp, chửa trứng là một dạng lành tính của nguyên bào nuôi do thai nghén. Chửa trứng nói riêng hay bệnh nguyên bào nuôi nói chung có một ảnh hưởng lớn tới sức khỏe người phụ nữ. Bởi vì, ngoài các biến chứng nhiễm độc, nhiễm trùng, xuất huyết, chửa trứng còn có một tỷ lệ biến chứng thành ung thư nguyên bào nuôi (Choriocarcinoma) khá cao khoảng từ 20-25%.

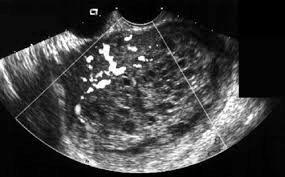
Hình ảnh chửa trứng trên siêu âm
Những người phụ nữ có nguy cơ bị chửa trứng
Điều kiện sống: Dinh dưỡng kém và điều kiện sống thiếu thốn, điều này có thể lý giải về tỉ lệ mắc chửa trứng cao ở khu vực Châu Á.
Tuổi: Khi so sánh những người phụ nữ mang thai ở các độ tuổi khác nhau cho thấy nguy cơ mắc bệnh tương đối khác nhau. Chẳng hạn như khi mang thai trước tuổi 20 thì tỷ lệ này là 1,5% nhưng sau tuổi 40 tỷ lệ là 5,2%.
Những bất thường về nhiễm sắc thể:
– Chửa trứng toàn phần: theo nghiên cứu di truyền học tế bào đã chứng minh 94% số chửa trứng có nhiễm sắc đồ là 46XX, đó là sự thụ tinh của một trứng không có nhân (trong nhân có chứa các vật liệu di truyền) với một tinh trùng, sau đó nhân đôi để tạo thành 46 nhiễm sắc thể. Có khoảng 4-6% chửa trứng toàn phần có 46 nhiễm sắc thể với giới tính XY.
– Chửa trứng bán phần: Có cả thai nhi và rau thai nhưng có một phần bánh rau trong đó các gai rau vẫn thoái hóa thành các nang nước. Trên phương diện di truyền đó là một tam bội thể do hai tinh trùng thụ tinh với một tế bào noãn bình thường, có kiểu gen là 69 XXY, XXX hay XYY. Khả năng ác tính của chửa trứng bán phần thấp hơn chửa trứng toàn phần.
– Do người phụ nữ bị suy giảm miễn dịch
Triệu chứng của bệnh
Ban đầu, người phụ nữ bị chửa trứng cũng có biểu hiện mang thai giống như những trường hợp mangg thai bình thường khác, trước hết là tắt kinh, sau đó là nghén. Tuy nhiên những người chửa trứng thường nghén rất nặng, nôn nhiều, ăn vào lại nôn, nôn ra mật xanh, mật vàng, người gầy sút. Một số trường hợp còn bị phù và cao huyết áp.
Bên cạnh nghén nặng, thai phụ còn bị ra máu âm đạo (hay xảy ra từ tuần thứ 6 đến tuần thứ 16 của thai kỳ), máu đen hoặc đỏ, dai dẳng, ít một, có thể tự cấm trong một thời gian ngắn. Do mất máu nên thai phụ mệt mỏi, xanh xao, niêm mạc nhợt, hay bị hoa mắt chóng mặt.
Một triệu chứng điển hình nữa là tử cung của người chửa trứng to quá mức không tương xứng với tuổi thai, có trường hợp chửa trứng mới 2-3 tháng mà tử cung đã to như người có thai bình thường 5-6 tháng. Tuy vậy khi sờ, nắn bụng thai phụ thì thấy mềm và không thấy khối thai, nếu làm siêu âm thì không thấy âm vang thai mà chỉ thấy hình ảnh của các túi dịch. Mặt khác nhiều người bệnh còn bị hồi hộp, run tay, vã mồ hôi do hormon thai nghén tăng cao.
Ngoài ra trong quá trình tiến triển của chửa trứng dễ xuất hiện các biến chứng rất nguy hiểm như sảy thai trứng gây băng huyết nặng, hoặc thủng tử cung do thai trứng ăn sâu vào lớp cơ tử cung.

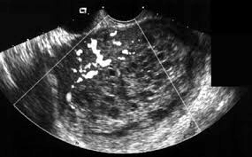
Hình ảnh chửa trứng toàn phần
ĐIều trị
Nạo hút trứng
– Cần phải nạo hút trứng ngay sau khi được chẩn đoán để đề phòng sẩy tự nhiên gây băng huyết.
– Bác sĩ thường dùng máy hút dưới áp lực âm để hút nhanh, hạn chế sự chảy máu.
– Trong khi hút phải chuyền tĩnh mạch dung dịch Glucose 5% pha với 5 đơn vị Oxytocin để giúp tử cung co hồi tốt, tránh thủng tử cung khi nạo và cầm máu.
– Cần nạo lại lần 2 sau 2 – 3 ngày.
– Sau nạo bắt buộc phải dùng kháng sinh để chống nhiễm trùng.
– Và một việc cần thiết nữa là cần gửi tổ chức sau nạo để làm giải phẫu bệnh xem là chửa trứng ở thể lành tính hay ác tính. Từ kết quả đó bác sĩ họ sẽ có những hướng điều trị và theo dõi sau khi nạo hút thai trứng.
Phẫu thuật
Cắt tử cung toàn phần cả khối hoặc cắt tử cung toàn phần sau nạo hút trứng thường được áp dụng ở các phụ nữ không muốn có con nữa hoặc trên 40 tuổi và trường hợp chửa trứng xâm lấn làm thủng tử cung để tránh tình trạng di căn sang các tạng khác.
Theo dõi sau nạo trứng
Cấn phải theo dõi các dấu hiệu sát sao tình trạng sức khỏe sau khi sảy hoặc nạo trứng để đảm bảo tử cung co hồi tốt và sự nhỏ lại của nang hoàng tuyến (phần còn lại sau khi trứng rụng làm nhiệm vụ tiết nội tiết để nuôi thai)
Sau khi buồng tử cung đã sạch thì người bệnh cần phải làm xét nghiệm định lượng Beta hGC 8 ngày/1 lần trong 3 tháng đầu. Sau đó xét nghiệm 1 tháng 1 lần cho đến khi âm tính. Nếu xét nghiệm 3 lần liên tiếp âm tính thì mới được khẳng định là âm tính. Sau đó định lượng 2 tháng một lần cho đến hết thời gian theo dõi là trong vòng ít nhất 2 năm.
Trong 2 năm theo dõi lượng beta hCG đó người phụ nữ cần cẩn thận tránh thai không được có thai trong thời gian này vì nếu có thai có thể nhầm lẫn với việc bệnh trở nặng và có biến chứng ung thư.

Phòng bệnh
– Tăng cường sức khoẻ, cải thiện yếu tố xã hội, nâng cao mức sống, sức đề kháng.
– Đề phòng các diễn biến xấu của bệnh.
– Theo dõi định kỳ và đầy đủ, nhằm phát hiện sớm biến chứng ung thư tế bào nuôi.
Chửa trứng là một bất thường sản khoa nếu không được phát hiện và điều trị kịp thời bệnh sẽ chuyển biến gây ung thư nguyên bào nuôi và dần di căn sang các cơ quan khác trong tiểu khung. Bệnh có thể gây nguy hiểm đến tính mạng của thai phụ, vì khi nạo trứng rất dễ bị băng huyết, thủng tử cung, còn nếu để lâ bệnh sẽ chuyển ung thư.
Theo NTD







































